Cıva Kolinesterazlar Kanser Bağlantısı
Cıva, muskarinik kolinerjik reseptörlerin güçlü bir rekabetçi inhibitörü olarak hareket ederek nörotransmisyonu engeller (Coccini ve diğerleri, 2000), ancak bu yön daha fazla çalışmayı beklemektedir. Çünkü sadece sinir sisteminin iletim fonksiyonlarından sorumlu olduğunu düşündüğümüz bu sistem, kanserojen gelişime katkıda bulunur.
Kolinerjik reseptörler, kanserojen gelişim biyomarkeri olabilir.
Kolinerjik sistemin komponentleri; kolinasetiltransferaz, asetilkolin, kolinesterazlar ve kolinerjik reseptörlerdir.
Bu sistemin bilinen klasik rolü, sinir sistemi hücreleri arasındaki uyarıları taşımasıdır.
Önemli konu şu ki asetilkolini geri dönüştüren asetilkolinesteraz enzimi cıvanın ilk bloke ettiği enzimdir.
İnsanlarda asetilkolinesteraz enzimini inhibe etmek için milimolar miktarlarda cıvanın yeterli olduğunu bildiğimize göre, cıvanın kolinerjik reseptörlerde yarattığı değişikliğe bağlı, kanserojen gelişimi tetikleyen faktöründe cıva olabileceği gerçeği ile yüzleşmemiz gerekir.
Kolinerjik sistemin morfogenetik olaylarda ve kanser oluşumundaki rolü – Osman Sulak, M. Ali Malas Süleyman Demirel Üniversitesi Tıp Fakültesi Anatomi AD, Isparta makale için tıklayınız.
Kolinerjik sistemin komponentlerinden asetilkolinesteraz, butirilkolinesteraz ve muskarinik reseptörler malign olaylardaki anormal hücre artışı sırasında tespit edilmiştir. Malign olaylardaki anormal hücre çoğalmaları ile kolinesterazların ve muskarinik reseptörlerin ortaya çıkışı arasında doğrusal bir ilişkinin olduğu belirtilmektedir.
Kolinerjik Sistem ve Kanser Oluşumu son 20-25 yıldır kolinerjik sistemin komponentleri ile tümör oluşumu arasındaki ilişki araştırmacıların ilgisini çekmiştir. Drews insanlardaki meme, kolon ve ovarium kanserlerinin erken evrelerinde ve metastatik dönemlerinde histokimyasal olarak yüksek kolinesteraz aktivitesi tespit etmiştir.
Cheng ve ark. muskarinik reseptör alt tipi olan M3 reseptörlerinin litokolik asit ile etkileşerek kolon kanserinde hücre proliferasyonunu arttırdığını göstermiştir.
Barbosa ve ark. glioma, meningioma, oligodendroglioma ve kraniofaringioma gibi beyin tümörlerinde AChE ve BChE aktivitelerini araştırmış adı geçen bütün beyin tümörlerinde her iki kolinesteraz aktivitesini pozitif bulmuþtur.
Noda ve ark. ve Lammerding-Köppel ve ark. malign melanomdaki atipik hücrelerde muskarinik reseptörlerin varlığını immunohistokimyasal olarak göstermişlerdir. Bilindiği gibi malign melanom melanositlerden gelişir.
Miki ve ark. embriyonal dönemde nöral krest hücrelerinin migrasyonu esnasında embriyonal muskarinik sistemin ortaya çıktığını göstermişlerdir. Nöral krest hücrelerinden kaynaklanan melanositlerin malign transformasyon ve infiltratif metastaz esnasında embriyonal kolinerjik sistemin aktif hale gelmesi ile erişkinlerde görülen bazı kanser türleri arasında bir ilişkinin olduğu kabul edilmektedir.
Bir çok malign tümörde kolinesterazlar ve kolinerjik reseptörlerin tespit edilmesi anormal hücre çoğalmalarını haber vermekte ve tümör hücrelerindeki mitozu ve hücre replikasyonunu göstermektedir.
Sonuç olarak kanser hücrelerinde tespit edilen bu kolinerjik sistemin komponentlerinin laboratuarlarda kanser markeri olarak kullanılıp kullanılamayacağı hakkında ileri araştırmaların yapılmasını gerektirmektedir.
Yukarıdaki bilgilere istinaden :
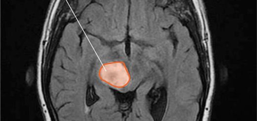
Uluslararası alanda tanınan tıp araştırmacısı Yoshiaki Omura, MD’nin yaptığı gözlemlere göre, tüm kanser hücrelerinde cıva var.
- Dr. Omura’nın klinik gözlemi, kanserin geri dönmesinin başlıca nedenlerinden birinin, kalan cıvanın ameliyattan sonra bile patolojik bir ortamı yeniden alevlendirmesi, kemoterapi, radyasyon ve alternatif tedavilerin olumlu bir etki bildirmemesi olduğu sonucuna varıyor.
Kolinerjik reseptörler, kanserojen gelişim biyomarkeri olabilirse, bu durumda kolinerjik resptörleri inhibe eden cıva da bir kanserojen gelişim biyomarkeri olabilir.
En çok cıva detoksu yapması gereken hastalık kanserojen gelişim gösteren hastalıklarken, resmi sağlık sistemi programlarında hiçbir kanser tedavisinde ‘’ ağır metal testleri veya detoksunun’’ olmaması da, daha öğrenilecek çok şeyimizin var olduğunu gösterir.
Ağır Metal – Mineral Testleri Ve Yorumları, Detoks Ve Kaçınılması Gereken Destekler İçin, İhtiyacı Olanlara Naturopatik Eğitim Ve Danışmanlık Verilmektedir.



