Amalgam Sökümlerinden Sonra Cıva Kalıntılarının Diş Etleri Ve Çene Kemiğinde Kalabildiğini Biliyor Musunuz
Geçmişte amalgam dolgularınız varsa lütfen cıvayı yeniden dağılıma sokan riskli protokollerden uzak durunuz.
Sadece geçen 1 hafta içinde 4 gizli cıva kalıntısı vakası bize ulaştı.
Hastalar dişlerinde hiç amalgam olmadığını düşünerek bazı riskli detosk tedavilerine başladı. Ancak tesadüfen diş müdahalesine gittiklerinde beyaz dolgu ve beyaz kaplamaların altında, cıva dolgularının olduğunu öğrendiler.
Bazı hastalar ise tesadüfen yapılan diş röntgenlerinde diş eti ve çene kemiğine sızmış ve orada kapalı kalmış cıva partiküllerine rastladılar.
Cıva dolgular veya partiküller ağızdayken, emeramide hariç hiçbir detoks uy-gu-la-na-maz. Cıvayı asla yeniden dağılıma sokmadığı için bu hastaların tek seçenekleri emeramide ile cıva detoksu yapmaktır. Diğer yöntemler ağızdaki cıva partiküllerini beyne veya hassas diğer organlara taşıyabilir.
Tüm güvenlikli önlemler ve detoks tedavilerine rağmen, şiddetli kronik sorunlarınız devam ediyorsa, eski diş müdahalelerinden kalan cıva partiküllerinin varlığını veya yokluğunu sorgulamaya değer.
Örnek diş röntgenlerini paylaşan herkese katkıları için teşekkür ederim.

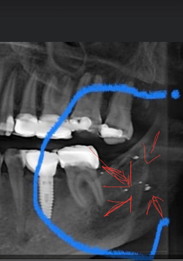
Örnek 1:
Bu özel tarama çekiminde diş eti içinde cıva partikülleri gözüküyor.
Yirmilik dişin çekildiği gün, yanıdaki amalgama müdahale edilmiş. Ve diş eti içine amalgam kıymıklarını da alarak yeniden yapılanmış.
Sonuç bu partikülleri operasyon ile temizlemenin bile mümkün olmadığı…
Amalgam sökümünde hekimler çoğu zaman cıvanın zararını önemsemedikleri için dişin küçük kovuklarında kalan minik parçalara dikkat etmeyebilir.
Ben de dahil güvenliksiz ve bilinçsiz amalgam müdahalelerinde içeride cıva kalıntılarına sahip olabiliriz.
Cıva partikülleri normal çene röntgenlerinde gözükmez. Üç boyutlu ct matrix 758-68 çekimi gerekir. Çekimi değerlendirmek için de çok işin ehli bir uzman gerekir. Türkiye’de böyle uzaman birine ulaşabilirseniz şanslısınız.
Çoğu çekim bu kadar net değildir. Özellikle diş içinde kalan kıymıkları tespit etmek ciddi uzmanlık gerektiren bir durumdur.
Başka bir konuda diş erlerinde amalgam mührü: Amalgam temizlendiğinde diş eti ile amalgamın temas ettiği yerler varsa, hekiminizden ayna isteyip o bölüme bakınız. Temas yeri siyah-mor bir geçmeyen amalgam mührüne sahip olur. Ben kendi diş etimde bizzat amalgam mührünü gördüm.

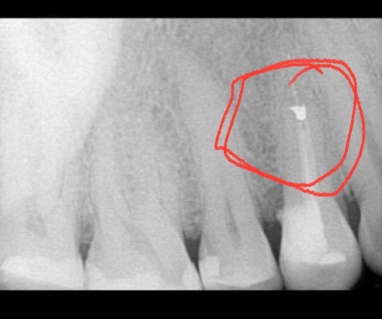
Örnek 2 ve 3 :
Güvenli Sökümde Bile Altta Gözle Görülen Veya Görülmeyen Cıva Parçası Kalırsa Ne Olur ?
Cıva detoks sürecine başladığımda, tüm cıvanın ağzımdan çıkması gerektiğini biliyordum. Röntgenlerime bakan yerel biyolojik diş hekimi, “Görüyorum ki diş hekimliğine yabancı değilsin” dedi. Sekiz amalgam ve dört kronum vardı. Beni cıva buharı ve tozundan korumak için gereken her şeyi yaptı. Ağzımı o zamanlar mantıklı görünen klorella ile çalkalamamı sağladı.
Eski, “sıradan” diş hekimimi kronlar hakkında aradım, altlarında bir amalgam olup olmadığını öğrenmek istedim. “İyi olduklarını düşünüyorum” demek zorunda kaldı, ben de onlara dokunmadım. Bu kronların çıkarılması ve değiştirilmesi çok büyük bir paraydı. DMSA ile şelasyona başladım. Üç ay sonra lipoik asit ekledim ve her şey dağıldı! Üst karnımda korkunç, donuk bir ağrı vardı. Bir at tarafından tekmelendiğimi hissettim. Buna ezici bir yorgunluk eşlik etti. Hayata devam etmeye çalıştım, ama yaptığım her şeyin ortasında uzanmak zorunda kaldım. Kanımı test ettirdim ve karaciğer enzimlerim üç haneli rakamlara ulaştı.
Bugünlerde biri bana benzer semptomlarla gelseydi, ne olduğu hakkında oldukça iyi bir fikrim olurdu… Ama o zamanlar yeniydim ve aptalca bir şekilde beceriksizdim. Gecenin bir yarısı uyandım ve “Tanrı’nın sesi” dediğim şeyi yaşadım. Bana geldi, “gidip şu kronların altını kontrol etsen iyi olur” dedi.
Dişçiye geri döndüm ve onları kesmeye çalıştı ama çok iyi yapıştırılmışlardı. ‘’Bunu yapmak istediğinden emin misin?’’ diye bana sordu. Onları kesmek ve değiştirmek için 3,000 dolarlık müdahale gerekti. Yaptığım şeye olan inancımın kanıtı olarak dördünü çıkardım. Tanrıya şükür, annem bana biraz para bırakmıştı ve benim de biraz nakitim vardı!
Bu vantuzlardan ikisinin altında çürük vardı, bu yüzden diş hekimi yaptığı şey hakkında biraz daha iyi hissetti. Ama birinin altında küçük bir parça amalgam vardı. Kucağıma düştü ve onu aldık. “Bu kadar küçük bir parçanın çok fazla soruna neden olabileceğini mi söylüyorsun?” diye sordu bana. Evet kesinlikle! Hatta ondan daha küçük parçalar bile sorundu!
Kardeşim hayatında birçok metale maruz kaldı. Karışık bir metal zehirlenmesi yaşadı. Erken başlayan alzheimer hastalığı gibi görünen bir hastalıktan acı çekti. Şelatlama konusunda herhangi bir ilerleme kaydetmediği için dişçiye geri döndük ve herhangi bir şeyi gözden kaçırıp atlamadığını görmek için panoramik bir fotoğraf istedik. Amalgam kalıp kalmadığı için özel röntgenlere ihtiyacınız olduğunu biliyorum. Kardeşimin dişinin röntgeninde küçük bir hilal şekli vardı, bu diş hekiminin gözden kaçırdığı küçük bir amalgamdı. Zavallı erkek kardeşim ‘’o küçük amalgam parçası” ile yıllarca şelasyon yaptı ve benim gibi şiddetli semptomları olmamasına rağmen, hiçbir zaman iyileşmedi. Birkaç ay önce ilerleyen demanstan öldü. Bana gelince, kronlarımı temizledikten sonra, olaysız şelat yapabildim ve o zamandan beri sağlığımı iyileştirdim.
Şimdi, herhangi bir ilerleme kaydetmeyen ve şelatör dozunu artıramayan insanlar gördüğümde, aklıma ilk gelen şey dişlerinde bir “küçük bir amalgam parçası ” kalmasıdır.
Pek çok diş hekimi, amalgamın son damlasını çıkarmanın ne kadar önemli olduğunun farkında değildir.
Diş hekimleri gerçek dişin mümkün olduğunca çoğunu sağlam bırakacak şekilde eğitildi. En iyi bütünsel diş hekimi bile bir tacı geri takmadan önce arkasında küçük bir cıva lekesi bırakmanın sorun olmadığını düşünebilir.
Başlangıçta hepimize amalgamın tamamen güvenli olduğu söylendi. Bunun doğru olmadığını anladıklarında, onlara amalgamın kronların altında “mühürlendiği” ve bu nedenle güvenli olduğu söylendi. Tabi ki bu da doğru değil.
Herhangi bir tür şelatör alacaksanız, dişleriniz üzerinde mükemmel bir iş çıkarmanız gerekir. Çalışmanın ısırık röntgenlerini alın ve ikinci bir görüş alın. Diş hekiminin bir taç takmasına izin vermeden önce herhangi bir dişin röntgenini çekin. Kimsenin sözüne güvenmeyin. Söz konusu olan sizin hayatınızdır, bu yüzden akıllı ve tetikte olun.
Eskiden sökülmüş bir dişte veya diş etinde, çene kemiğinde sızıntı yapmış amalgam kalıntısı tespiti için : Üç boyutlu 768’li matrix ile dental-CT çekilmesi gerekir.
Çenelerdeki Toksinler:
Çene bölgesinin dikkatli bir teşhis incelemesi kritiktir: Amalgam çıkarılmış hastalarda bile, kronların veya dolguların altında, köklerin ucunda, çene kemiğinde, paranazal sinüslerde ve ayrıca oral mukozal dokularda kalıntı izleri sıklıkla bulunabilir. Bunlar standart X-ışını görüntülerinde görülemez. Bunları görselleştirmek, özel DVT1 tabanlı diyagnostikler veya nadir görülen 768 Matrix ile çok yüksek çözünürlüklü CT2 taramaları gerektirir.
Ancak en iyi görüntülerin bile, deneyimli bir teşhis uzmanı tarafından görülmediği ve yorumlanmadığı takdirde hiçbir faydası yoktur. Ne yazık ki, bu uzmanlar çok az ve bu noktada, çoğu diş hekimi başarısız oluyor.
Çene bölgesinden alınan görüntüler aynı zamanda diğer yabancı cisimleri (örn. Kök dolgu malzemesi), iltihaplanma odaklarını, kemik nekrozu vb. ortaya çıkaracaktır. Bunların tümü, güvenlik açısından en büyük özen gösterilerek profesyonelce çıkarılmalıdır.
Dr. Mutter:
‘’Ağır metal testlerinde cıva tespit edilemese de, geçmişte amalgam dolgu sahibi kişiler güvenlik önlemsiz müdahaleler ile diş restorasyonu yaptırdıysa cıva zehirlidir. Derinlerde cıva birikir ve bu testlerede görünmeyebilir.
Kolayca erişilemeyen beyin veya omurga gibi bölmelerdeki cıvayı ölçemeyiz.
Cıva, yaşla birlikte artan miktarlarda internöronlarda ve α-motonöronlarda birikir. Bu, motor nöron ölümüne yol açabilir ve dolayısıyla cıva maruziyetinin duyarlı kişilerde nörodejeneratif hastalıklara ( ms, parkinson, als, alzheimer, otizm, DEHB vb..) katkıda bulunan bir faktör olabilir. ‘’
Ağır Metal – Mineral Testleri Ve Yorumları, Detoks Ve Kaçınılması Gereken Destekler İçin, İhtiyacı Olanlara Naturopatik Eğitim Ve Danışmanlık Verilmektedir.
Eğer daha fazla bilgi veya rehberliğe ihtiyacınız varsa, size yardımcı olmaktan memnuniyet duyarım.
Sevgi Kaya
Mimar – DEÜ Mimarlık Fakültesi – Artı Bodrum Mimarlık Mühendislik Ve İnşaat Ltd. Şti
Mineral Master – İntelligent Nutrition Canada
Ağır metal zehirlenmesi ve Kronik Toksisite – Bütüncül Tıp Okulu
Naturopati – Apiterapi Uzmanı -Riccon Academy Switzerland
DEÜ Mimarlık Fakültesi mezunu, 30 yıllık mimar ve sağlık eğitimleri almış bir uzmandır. Mineral Master olarak doğal besinler ve detoks yöntemleri ile sağlık koşullarını iyileştirmeyi hedefler.
https://detoks.org.tr/bozulan-saglik-kosullarinizi…/
Daha fazla bilgi için detoks.org.tr adresini ziyaret edebilirsiniz..
Burada paylaşılan tüm bilgiler sadece eğitim ve bilgi amaçlıdır. Herhangi bir hastalığın veya sağlık durumunun teşhisi, reçetesi veya uygun tedavisi için, lütfen yetkili resmi sağlık kuruluşları ve uzmanlarına başvurunuz.


