Folik Asit Reçeteleri Kanser, Kalp Hastalığı, Depresyon Veya Kulak Çınlamanızın Sebebi Olabilir
Düşük seviyelerde metilfolat, kalp damar hastalıkları, inme, bunama, depresyon, kanser ve doğum kusurları riskinin artması ile ilişkilidir. Folik asit (B9 vitamini olarak da bilinir) 1930’larda...


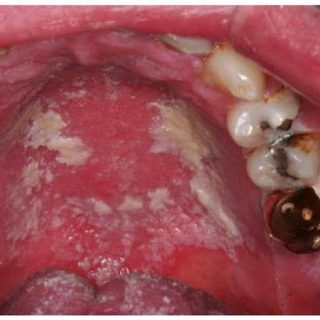
Amalgamlar ile asla yapılmayacaklar listelerimizi okuyunuz lütfen. Yoksa beyne cıva taşırsınız. Ve amalgamlara mutlaka smart belgeli güvenli söküm yapılmalıdır. Amalgamlar…