Amalgam Ve Kandidiyazis Candida
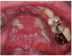
Fotoğrafların ortak yönü : amalgam-kandidiyazis
Kapsamlı klinik deneyimlerden, kanserin yayılmasının genellikle mantar / Candida insidansı ile ilişkili olduğu bulunmuştur ve Candida’yı kan alkalinite dengesi ve toksik metal vücut seviyesinde azalma yoluyla tedavi etmenin kanserin yayılmasını azalttığı bulunmuştur. Bu tür tedaviler ayrıca hücrelere oksijen tedarikini de arttırır.
Anaerobik (oksijensiz solunumun olduğu) bir ortam, maya enfeksiyonlarının ve kanserin gelişmesine yardımcı olur, çünkü maya fermente edici bir spordur ve kanser normal bir solunum (oksijen kullanan) hücresi yerine fermente edici bir hücredir.
Cıva/ Merkür’ün vücutta Candida ile simbiyotik bir ilişkisi vardır ve Candida’nın çoğalmasını teşvik eder.
Cıva, nötrofillerin ve miyeloperoksidazın litik aktivitesini etkileyerek vücudun Candida albicans’ı öldürme kabiliyetini bozar.
İmmün Th1 hücreleri, makrofajların ve nötrofillerin sitokine bağlı aktivasyonu yoluyla Candida’yı inhibe eder. Th2 tipi bağışıklık tepkilerinin geliştirilmesi bu tür savunmaları devre dışı bırakır.
Cıva, Th1 ve Th2 sitokinleri üzerindeki etkisiyle Candida’ya karşı makrofaj ve nötrofil savunmasını inhibe eder.
Candida ayrıca inorganik cıvayı, cıva buharı gibi kan-beyin bariyerini kolayca geçen, nörolojik hasara neden olan ve bağışıklık sistemini zayıflatan yüksek derecede toksik metil cıva formuna metilleştirir.
Kandidiyaz, genellikle toksik yükleri yüksek olanlar ( (metal maruziyetleri, özellikle test sonucunda cıva veya diğer toksik metallere karşı immün reaktif olduğu tespit edilenler ) gibi immün sistemi baskılanmış kişilerde görülür.
Güvenlik önlemli amalgam replasmanı ve cıva detoksu, Candida’yı iyileştirir veya önemli ölçüde hafifletir.
Kndida İstilasının Kontrolü -Ağır Metal – Mineral Testleri Ve Yorumları, Detoks Ve Kaçınılması Gereken Destekler İçin, İhtiyacı Olanlara Naturopatik Eğitim Ve Danışmanlık Verilmektedir.









